Hírek
2017. Október 17. 10:04, kedd | Belföld
Több százmilliós kárt okozott egy fakereskedő banda
Százmilliós károkat okozó fakereskedő bűnözőkre csaptak le egyszerre két helyen is a Nemzeti Adó- és Vámhivatal (NAV) észak-alföldi pénzügyi nyomozói. Négy embert előzetes letartóztatásba helyezett a bíróság
2017. Október 17. 07:08, kedd | Belföld
Bírósági tárgyalóteremben akart drogot átadni
A debreceni rendőrök vádemelési javaslattal fejezték be a nyomozást a pálfai férfival szemben.
2017. Október 04. 07:41, szerda | Belföld
Hárman meghaltak egy balesetben a 354-es úton
Debrecen határában a 354-es úton kedden késő este két személygépkocsi ütközött össze, a balesetben hárman meghaltak - közölte a Hajdú-Bihar Megyei Rendőr-főkapitányság szerda hajnalban a rendőrség honlapján.
2017. Október 03. 05:00, kedd | Belföld
Megölte majd kirabolta nagyszüleit – életfogytiglant kapott
A Debreceni Ítélőtábla hétfőn helybenhagyta a Debreceni Törvényszék életfogytig tartó fegyházbüntetést elrendelő első fokú ítéletét, ami így jogerőre emelkedett a nagyszüleit megölő férfivel szemben
2017. Augusztus 05. 13:29, szombat | Belföld
Kigyulladt egy villanymozdony Debrecenben
Kigyulladt egy villanymozdony a debreceni vasútállomáson szombat délelőtt - közölte a hajdú-bihari katasztrófavédelmi igazgatóság sajtóügyeletese az MTI-vel.
2017. Július 20. 08:04, csütörtök | Belföld
Autóval ütközött a vonat Debrecen és Nagycsere között
Személyautóval ütközött egy vonat csütörtök reggel a Debrecen-Nyírábrány vonalon. A teljes vonalon pótlóbuszok szállítják az utasokat - közölte a Mávinform az MTI-vel.
2017. Július 19. 05:01, szerda | Belföld
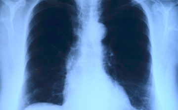
Elvégezték az országban az első tüdőverőér-tágítást
Az országban elsőként a Debreceni Egyetem Klinikai Központjában végeztek tüdőverőér-tágítást - közölte a felsőoktatási intézmény sajtóirodája kedden az MTI-vel.
2017. Június 13. 18:26, kedd | Belföld
Horogkeresztet rajzolt két fiú a debreceni Nagytemplomra
Jogerősen is két-két év próbára bocsátotta kedden zárt ülésen a Debreceni Törvényszék azt a két fiatalkorút, aki tavaly áprilisban horogkeresztet festett a debreceni Református Nagytemplom talapzatára
2017. Június 13. 16:10, kedd | Életmód
Először született tigris Debrecenben - Megmutatták a cuki kölyköt
Először született tigris a debreceni állatkertben, a most már héthetes hím kölyköt kedden mutatták be a sajtónak és a közönségnek.
2017. Május 20. 17:51, szombat | Belföld
Balesetben egy ember meghalt, három megsérült Debrecennél
Egy ember a helyszínen meghalt, három megsérült, amikor Debrecen közelében, a 354-es úton két személygépkocsi összeütközött szombaton délután
2017. Május 04. 05:01, csütörtök | Bulvár
Cuki sivatagi rókák érkeztek Debrecenbe
Sivatagi róka (Vulpes zerda) a Debreceni Állat- és Növénykertben május 3-án. A fiatal hím és testvére a lengyelországi Wroclaw állatkertjéből érkezett Debrecenbe. MTI Fotó: Czeglédi Zsolt
2017. Május 03. 07:29, szerda | Kék hírek
Lakástűzben meghalt egy ember Debrecenben
Meghalt egy ember Debrecenben kedd este, amikor kigyulladt az otthonául szolgáló építmény - közölte a hajdú-bihari katasztrófavédelmi igazgatóság megbízott szóvivője az MTI-vel.
2017. Április 12. 13:54, szerda | Belföld
Tizenkét év fegyházra ítélték a kislányát megerőszakoló apát
Tizenkét év fegyházbüntetésre súlyosította a Debreceni ítélőtábla szerdán annak a férfinak a fegyházbüntetését, aki négy éven át molesztálta és többször megerőszakolta saját lányát.
